不要再为“腺样体肥大”,让孩子白挨一刀了!
说话鼻音重、鼻塞流涕老不好、鼾声重、无精打采注意力不集中……你家孩子是否经常有以上这些情况?如果有,那就要警惕起来了,这可能是腺样体肥大在作怪!
腺样体肥大虽然只是一个小病,也有一定的自限性,但如果放任不管,其对儿童的危害往往是终身的,严重的会影响发育,产生腺样体面容、听力下降、鼻炎、呼吸暂停综合症等。手术,是目前大多数家长选择的做法,但是手术真的是必选项吗?也许你的选择只是让你的孩子白挨了那一刀。
什么是“腺样体肥大”?
腺样体,又叫咽扁桃体,在咽后壁,为淋巴组织结构。腺样体肥大,是指腺样体淋巴组织受到反复刺激,形成病理性增生肥大,并引起相应的各种症状的疾病,发生于儿童时期。
0-6岁期间,腺样体为了应对外界病原体感染,会出现反应性增生,体积增大;10岁以后,腺样体将逐步萎缩,对人体健康保护作用减轻,成年时基本消失。
虽然腺样体会随着年龄增长逐渐萎缩,但是在其增大过程中对儿童的危害却是不可逆的。腺样体肥大最直接的危害是导致肺通气功能受限,身体特别是脑部缺氧,影响发育。儿童生长发育的时机只有一次,神经系统、骨骼生长定型以后,无法逆转。因此早发现早干预,对儿童身心发展尤为重要。
说起腺样体肥大,大家可能还有些陌生,但是这种疾病所表现出来的症状,相信家长们都能识别:
□ 鼻部症状,如经常鼻塞、流涕、说话带鼻音、睡眠打鼾、夜间睡眠呼吸暂停等。
□ 耳部症状,如耳部听力下降或耳鸣、慢性中耳炎等。
□ 咽喉及下呼吸道症状,如经常阵发性咳嗽、气管炎或哮喘、口痰多、经常扁桃体肿大等。
□ 出现腺样体面容。
□ 反射性神经症状,如生长发育迟缓、反应迟钝、注意力不集中、夜间惊醒、端坐呼吸、磨牙或遗尿等。
★ 以上症状出现3条及以上,那需要当心了!
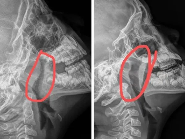
▶ 图例


通过以上两个X线片的对比,能明确看出,图左气道因腺样体肥大受限严重,供氧减少,长期则影响生长发育。
如何诊断腺样体肥大呢?
诊断腺样体肥大最明确的是鼻咽部侧位DR,或鼻咽部CT、MR。通过测量A、N、PAS值,可以计算出A/N比,正常人为0.5-0.6。0.61-0.7,诊断为腺样体中度肥大;0.71-0.8,诊断为病理性肥大;≥0.81,诊断为显著肥大。PAS≥10mm为正常。特别需要注意的是若A/N≥0.71,PAS≤3mm,则已经符合腺样体切除手术指征了。这也是目前大多数家长选择的做法,但是手术真的就是必选项么?
首先,手术无论大小,都会对孩子的身心发展产生影响。
其次,腺样体肥大在6岁以前都有不断增生的倾向,因其与基底面没有包膜,所以不可能完全切除,切除以后还会继续增生,难道要再做一次手术吗?
其实,除了西医,中医也有办法治疗腺样体肥大。
“说话鼻音、鼻塞明显1月余,流浊涕,今日明显增多,偶有夜间睡眠打呼,无耳部症状,有阵发性咳嗽,近日增多,咳吐白色痰,颚扁桃体I度肿大。遗尿多,纳可,夜寐安,二便正常。舌淡红苔薄白,水滑,脉数。市儿童医院诊断为腺样体肥大,口服孟鲁司特等抗过敏及激素治疗不佳……”西医久治不愈,陆妈妈抱着试一试的心情带着4岁的小朋友来我院治未病中心寻求中医治疗。
通过评估量表和鼻咽部侧位DR,小朋友腺样体肥大分级为中度,中度影响通气功能。我院治未病科接诊医师针对他的情况,制定了中医综合干预的方案,主要包括:避免过敏原、小儿推拿治疗、背部艾灸熏治、口服中药。
中医认为小儿腺样体肥大属于“痰核”范畴。小儿时期脏腑发育娇弱,肺既是鼻、咽、耳、气道的联通部位,同时又是痰核的藏储部位,因此其治疗主要以清肺为主。临床中常见肺脾实热证及气阴两虚证。中医小儿推拿以整体观念及辨证论治为基础,在开天门、推坎宫(小儿推拿手法)的基础上,加用清肝、清肺、凉血、引热下行等方法,并配合补脾、运脾、补肾滋阴等,具有调和气血,通络活络的功能,最终可以达到改善患儿呼吸道功能,增强机体免疫力的目的。口服中药配合推拿标本兼顾,使邪去而不伤正。
小朋友当天晚上就不再遗尿,次日鼻通气也明显改善,鼻音显著性减轻。小朋友尝试如前一日闭口用鼻呼吸,自诉:“鼻子通气啦!”惹得医生家长一通大笑,也对完全康复充满了信心。
中医综合治疗无论是对患者当前的鼻通气功能改善,还是远期对腺样体肥大的萎缩治理,都具有十分明确的作用。我们就希望让更多的家长知道,还有这么一种中医治疗,能够在避免手术的情况下,让腺样体肥大儿童康复!
为满足患儿及家长的就诊需求
我院开设小儿推拿保健门诊
【门诊时间】
周一至周日
7:45-11:15/13:30-17:00
【门诊地点】
门诊二楼
- 上一篇: 2025/9/23
- 下一篇:【中药二十四节气】今日夏至 2022/6/21